El "gusano" de la nariz del corzo, miasis producida por Cephenemyia stimulator, es una enfermedad frecuente en los corzos, que en los últimos años ha generado una importante preocupación entre cazadores y gestores de esta apasionante especie por los efectos tan importantes que puede generar en ella.
Esta enfermedad se produce por una fase larvaria de un tábano que para completar su ciclo de desarrollo requiere la presencia de corzos como hospedador.
El tábano en cuestión es una especie frecuente en Centro Europa pero hasta hace relativamente poco tiempo no se habían encontrado citas de su presencia en España.
Los estudios realizados indican que Cephenemyia en su fase larvaria es un parásito que provoca problemas respiratorios y dificultad para la alimentación dado que "crece" en fosas nasales y cavidad bucal. Esto termina por debilitar a los corzos y los hace más fácilmente capturables por predadores o más sensibles a otros procesos infecciosos secundarios.
El diagnóstico de la enfermedad se suele hacer por necropsia, abriendo dichas cavidades para comprobar si el gusano está presente, lo cual no siempre es posible cuando se quiere guardar la cabeza como trofeo.
¿Hay alguna alternativa?
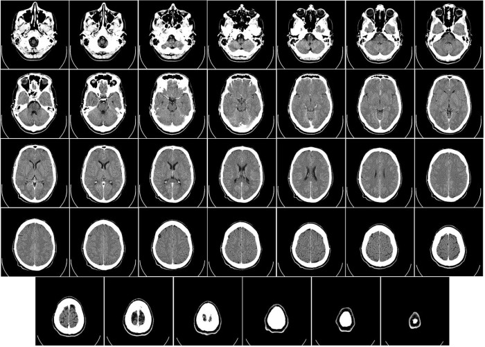
Un estudio firmado por Fidalgo y colaboradores utilizaron escáner para diagnosticar la presencia de Cephenemya en 30 corzos abatidos en Galicia y Castilla y León.
La prevalencia de la infestación fue del 40%, siendo mayor en machos (45%), que en las hembras (25%) y en todos los casos en los que se diagnosticó por escánder posteriormente se confirmó mediante la necropsia, lo que implica que esta técnica puede ser una alternativa eficaz para el diagnóstico y, aunque es verdad que no está al alcance de cualquiera, si puede tener una gran importancia para mejorar el conocimiento de esta enfermedad y contribuir a mejorar su gestión en las poblaciones afectadas, preservando en todo caso la integridad de los trofeos que puedan ser empleados en las investigaciones.
Si quieres conocer más datos sobre esta apasionante especie te recordamos que tienes a tu disposición el Curso on-line sobre Biología, Gestión y Caza Sostenible del Corzo para seguir aprendiendo cada día y mejorando la gestión en tu coto.
Referencia del artículo
Fidalgo, L. E., López-Beceiro, A. M., Vila-Pastor, M., Martinez-Carrasco, C., Barreiro‐Vázquez, J. D., & Pérez, J. M. (2015). Use of computed tomography as a non‐invasive method for diagnosing cephenemyiosis in roe deer (Capreolus capreolus). Medical and veterinary entomology, 29(1), 110-113.

